NVIDIA и Siemens Healthcare недавно продемонстрировали новую технологию ультразвукового 3D сканирования, которая позволяет будущим родителям и акушерам увидеть плод с высоким уровнем детализации с помощью 3D-очков.
NVIDIA и Siemens Healthcare недавно продемонстрировали новую технологию ультразвукового 3D сканирования, которая позволяет будущим родителям и акушерам увидеть плод с высоким уровнем детализации с помощью 3D-очков.
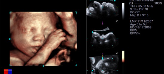
Благодаря пришедшей из 3D-фильмов технологии новое программное обеспечение для обработки изображений Siemens fourSight Workplace использует стереоочки NVIDIA 3D Vision и профессиональную графику высокого уровня NVIDIA Quadro FX для создания впечатляющих 3D/4D изображений еще не родившегося ребенка.
Изображения, полученные с помощью ультразвуковой системы ACUSON S2000, проходят дальнейшую обработку в программе Amnioscopic Rendering от Siemens, которая воспроизводит фотореалистичное 3D-изображение плода.
